Casos
Conheça alguns sucessos que a Noma Odontologia conquistou.
ESTA É A NOMA

Casos de Sucesso

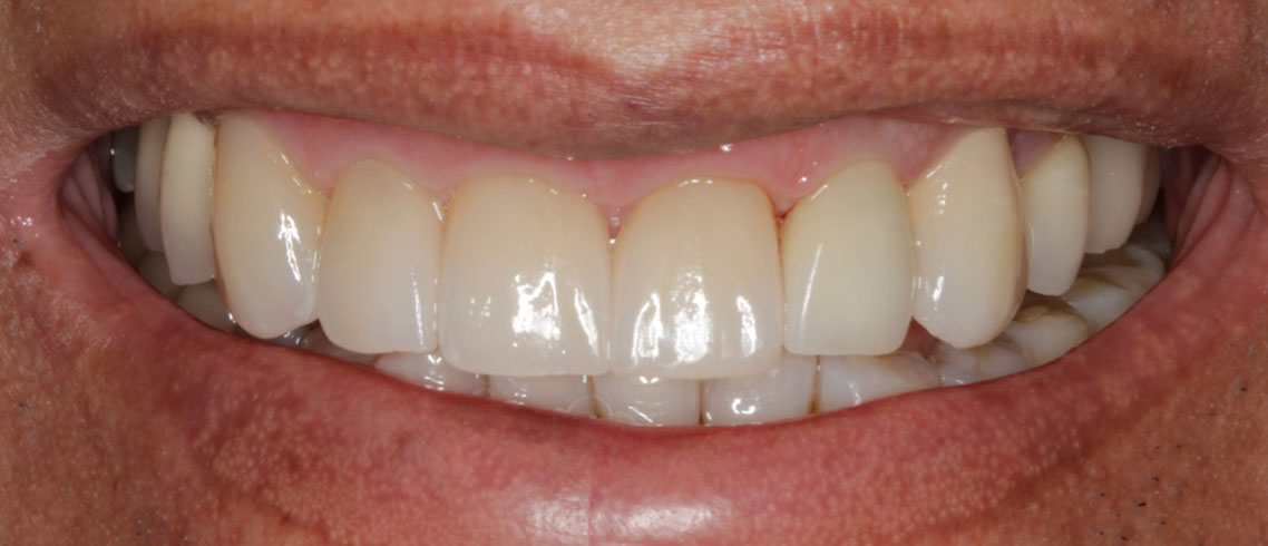
Facetas de Canino à Canino
Facetas de Canino à Canino

A paciente não estava contente com o espaços entre seus dentes e a forma deles.

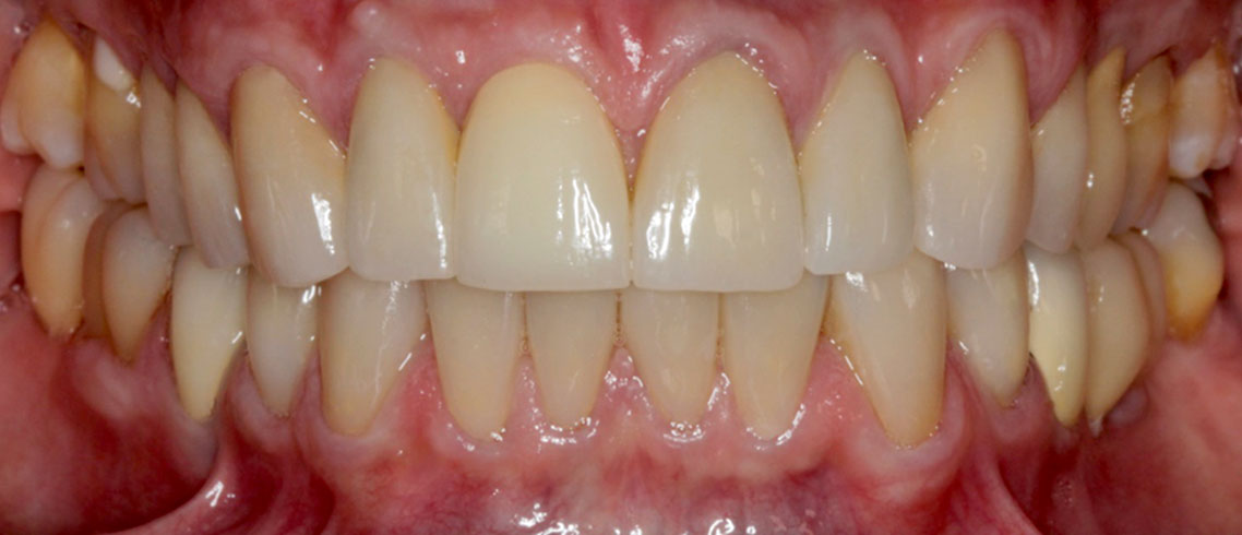
Reabilitação Oral Completa
Reabilitação Oral Completa

Neste caso, o paciente chegou ao consultório apresentando uma fratura do elemento 11 e se queixando da estética.

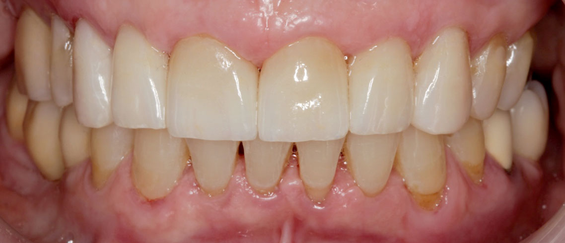
Implante e Facetas de Porcelana
Implante e Facetas de Porcelana

Situação clínica onde o paciente chegou na Noma Odontologia queixando-se de dor no dente 23.

Este site usa cookies para garantir que você obtenha a melhor experiência e avaliação de visitação.