Caso
Facetas de Canino à Canino
Caso de sucesso

Facetas de Canino à Canino

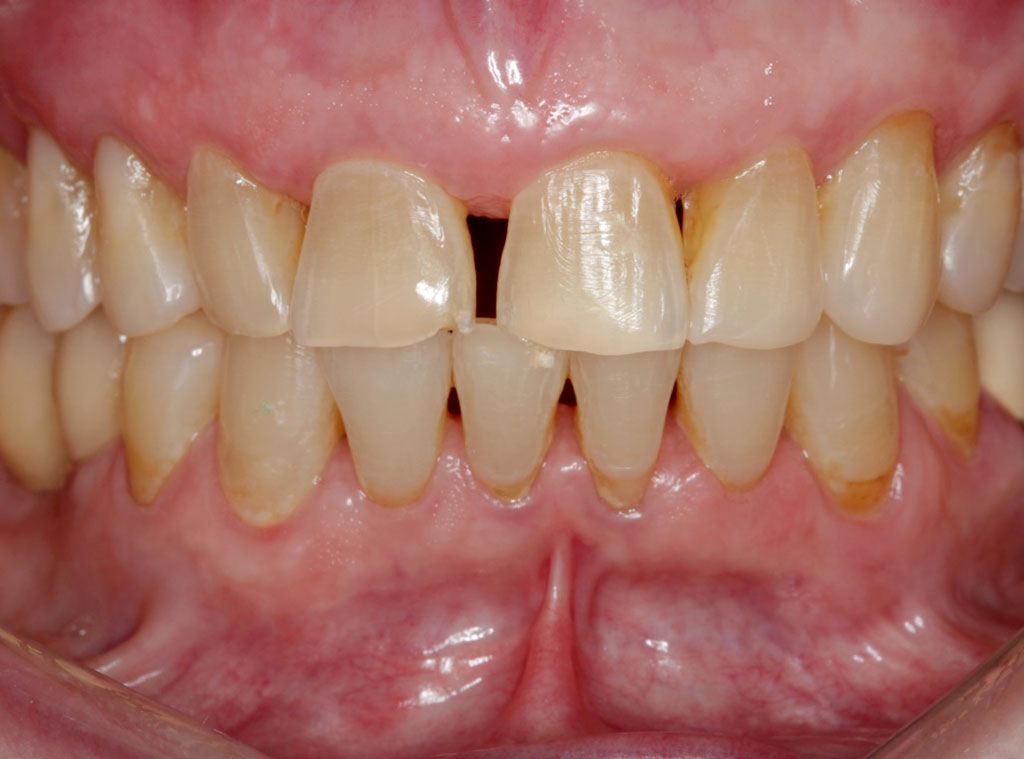
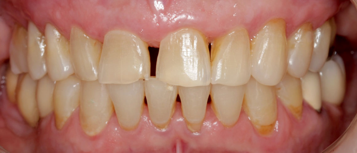
Neste caso, a paciente não estava contente com o espaços entre seus dentes e a forma deles. Foi proposto a confecção de facetas em porcelana de canino à canino.

Antes & Depois

Original Image
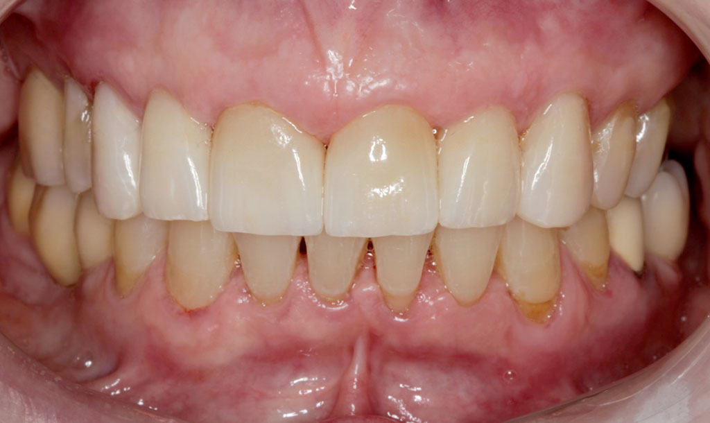
Modified Image

O resultado, um sorriso harmônico e com uma correta oclusão.

Agende sua avaliação ainda hoje!
Prefere fazer seu agendamento por whatsapp? Fale com nosso atendimento!

Este site usa cookies para garantir que você obtenha a melhor experiência e avaliação de visitação.