Caso
Implante e Facetas de Porcelana
Caso de sucesso

Implante e Facetas de Porcelana

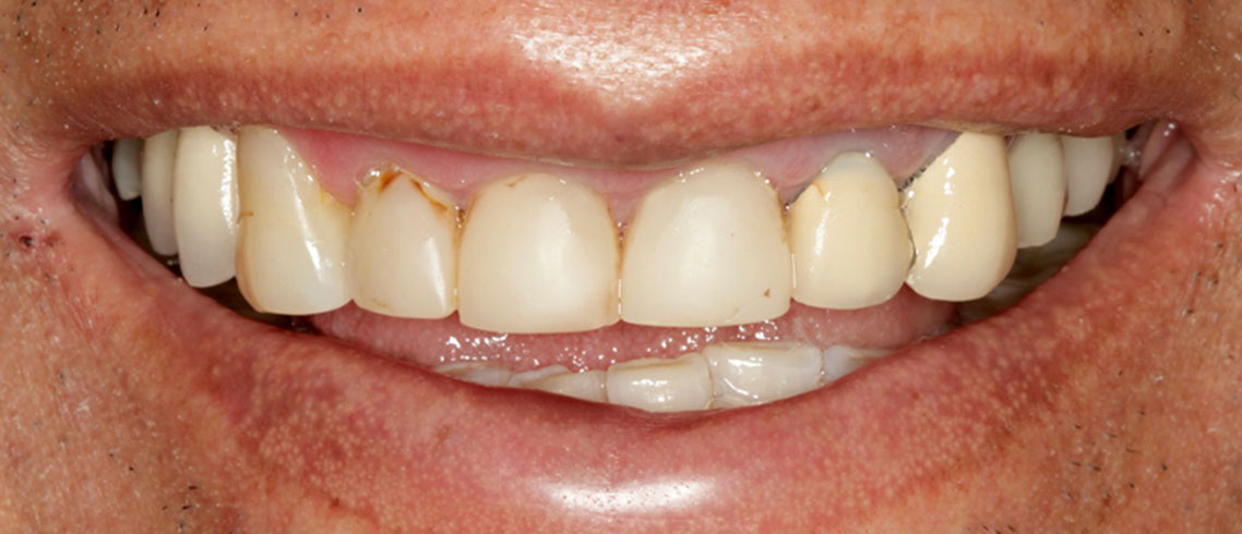
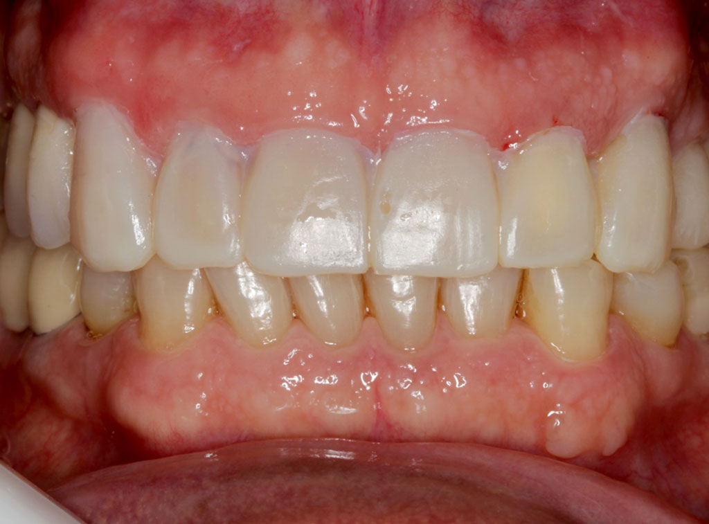
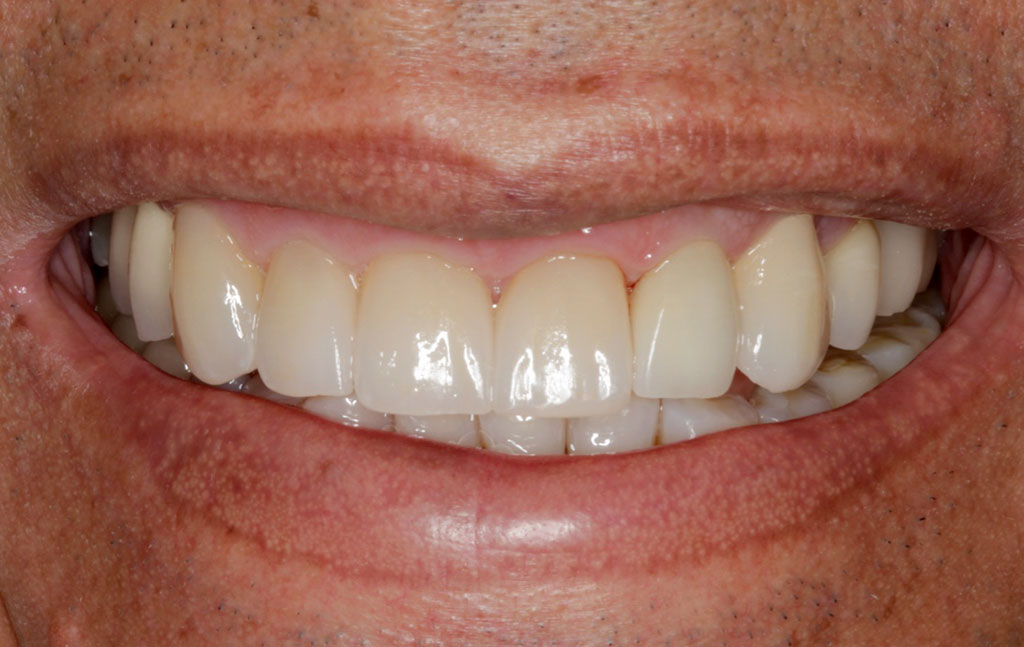
Situação clínica onde o paciente chegou na Noma Odontologia queixando-se de dor no dente 23. Foi realizado exame clínico e exames complementares, constatando fratura do dente 23. Após uma completa análise dos demais dentes, foi proposto ao paciente a exodontia e instalação imediata do implante na região do dente 23 e facetas de porcelana nos dentes anteriores. O resultado, um sorriso harmônico e com uma correta oclusão.

Antes & Depois

Original Image
Modified Image

O resultado, um sorriso harmônico e com uma correta oclusão.

Agende sua avaliação ainda hoje!
Prefere fazer seu agendamento por whatsapp? Fale com nosso atendimento!

Este site usa cookies para garantir que você obtenha a melhor experiência e avaliação de visitação.