Caso
Reabilitação Oral Completa
Caso de sucesso

Reabilitação Oral Completa

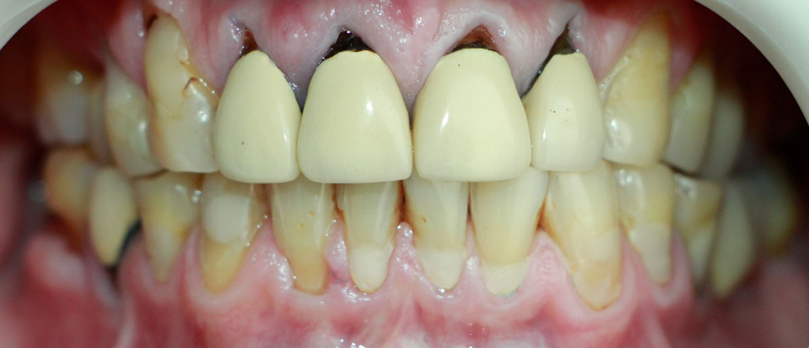
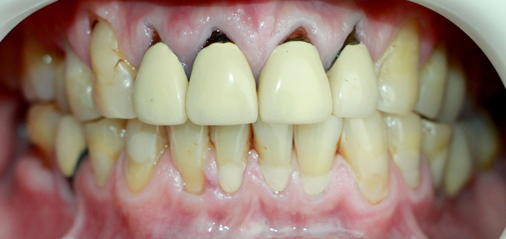
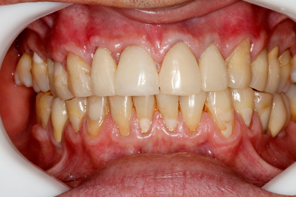
Neste caso, o paciente chegou ao consultório apresentando uma fratura do elemento 11 e se queixando da estética.

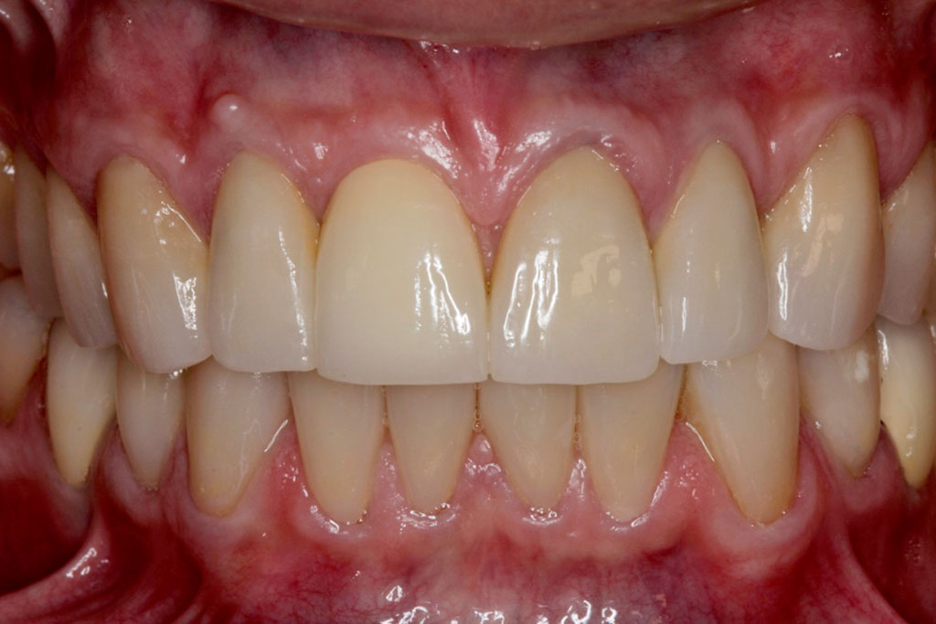
Foi proposto uma reabilitação oral completa, como aplicação de implante imediato, coroas de emax e facetas de porcelanas. Assim conseguimos um resultado estético e harmonioso.

Antes & Depois

Original Image
Modified Image

O resultado, um sorriso harmônico e com uma correta oclusão.

Agende sua avaliação ainda hoje!
Prefere fazer seu agendamento por whatsapp? Fale com nosso atendimento!

Este site usa cookies para garantir que você obtenha a melhor experiência e avaliação de visitação.